安心の審美歯科症例

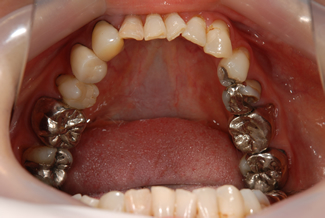
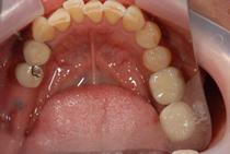
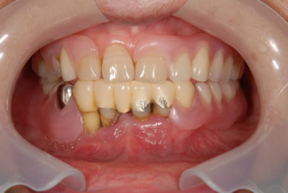
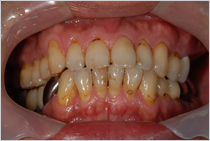
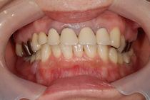
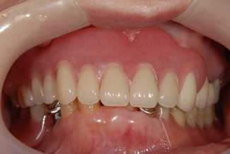
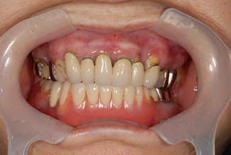
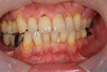
エステショットを使用した症例1

Before

エステショットを使用した症例1の術前写真

エステショットを使用した症例1の術前写真

エステショットを使用した症例1の術前写真

After

エステショットを使用した症例1の術後写真

エステショットを使用した症例1の術後写真

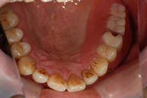
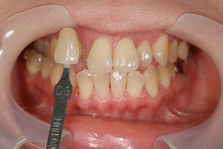
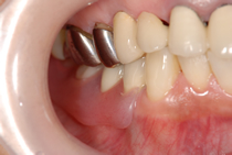
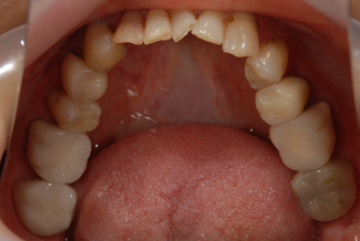
エステショットを使用した症例2

Before

エステショットを使用した症例2の術前写真

After

エステショットを使用した症例2の術後写真

エステショットを使用した症例2の術後写真

エステショットを使用した症例2の術後写真

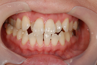
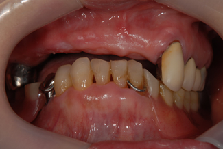
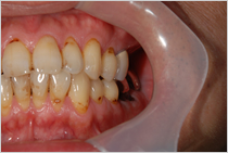
グラディアフォルテを使用した症例1

Before

グラディアフォルテを使用した症例1の術前写真

After

グラディアフォルテを使用した症例1の術前写真

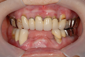
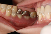
ルシトーンを使用した症例1

Before

ルシトーンを使用した症例1の術前写真

After

ルシトーンを使用した症例1の術前写真

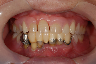
ルシトーンを使用した症例2

Before

ルシトーンを使用した症例2の術前写真

After

ルシトーンを使用した症例2の術前写真

クリアープラスチックアプライアンスシステム1

クリアープラスチックアプライアンスシステム1の症例写真

クリアープラスチックアプライアンスシステム1平成22年4月30日

クリアープラスチックアプライアンスシステム1平成22年5月28日

クリアープラスチックアプライアンスシステム1平成22年6月17日

バルプラスト

Before

バルプラストの術前写真

After

バルプラストの術前写真

ホワイトニング

Before

ホワイトニングの術前写真

After

ホワイトニングの術前写真

拡大床1

拡大床1平成22年4月5日

拡大床1平成22年5月20日

拡大床1平成22年6月24日

経年劣化

経年劣化平成22年6月

無料メール相談

メニュー

  • トップページ
  • 超お得なキャンペーン!
  • 審美歯科治療
  • 安心の審美歯科症例
  • 保険治療との比較
  • 見えない矯正について
  • 院長紹介・実績
  • 医院案内
  • アクセス・診療時間
  • お問い合わせ

無料相談 お問い合わせはこちら

束本歯科医院

床矯正研究会

束本歯科医院オフィシャルブログ

束本歯科医院ブログ

健口ニュース 一般向け

健口ニュース 家族向け

健口ニュース 女性向け

ページの先頭へ戻る